We zijn een Tweedelijns doorstuur praktijk voor orthopedie.

Luc heeft zich gespecialiseerd in de behandeling van dieren met botbreuken en gewrichtsproblemen.

Hiervoor volgt hij al geruime tijd bijscholingen en cursussen in het buitenland.

Doordat er een aantal collega's  patiënten doorsturen hebben we heel wat ervaring opgebouwd.

Specialisatie Patella luxatie ( losse knie)  kruisband herstel bij hond en correctieve osteotomies , kunstgroeve, kunstknie bij hond en kat .

Botbreuken herstellen met platen van Synthes en kyon .

Bijscholingen :

December 1988 AO vet advanced course for small animals   Zwitserland

Mei 1998  Wetlab triple pelvic osteotomie  SAVAB weekeind 

April 1998  ESVOT  veterinary orthopedics and traumatologie   Duitsland

maart 2001  cnvspa  cours d'immagerie   Frankrijk 

December 2005  AO Small animal course advances in fracture treatmant   Zwitserland

September 2006  ESVOT  Congres Duitsland

April 2009 TTA for treatment of cruciare deficient stifle in dogs  Zwitserland

Januari 2013  Synthes  Locking compression plate training  Brussel

Mei 2014   AOVET AO master class advanced corrective osteotomies: Rear limb and patella luxatie 

                     IItalië  Cremona

April 2018  AOVET Master course canine spotrs medecine orthopedics    Croatië

April 2019  KYON Corrective osteoyomy of the hind limb and patella groove  Zwitserland

                     PGR patella groeve raplacement.

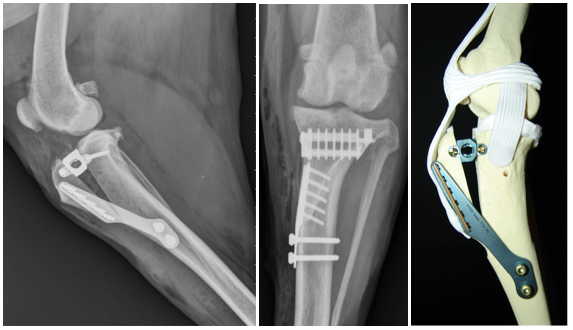
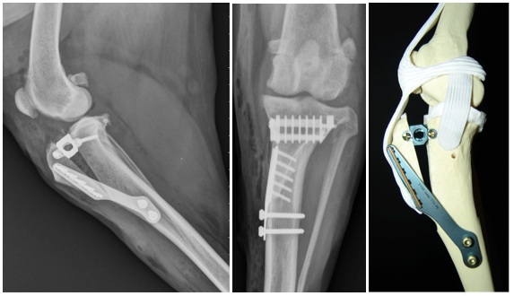
september 2021  Kyon    PAUL techniek voor elleboog dysplasie

sept 2023  securos Londen  TPLO en CCWO

November 2024 shelf arthroplasie  met 3DHIP titanium inplant

 

ARTHROSCOPIE met NANOSCOPE.

 

 

TTA                                         TPLO                                     CCWO

 

 

 

 

3DHIP 

behandeling jonge honden met Heupdysplasie